船橋市 動物病院 | ふなばし動物医療センター かつまペットクリニック | 整形外科 犬の白内障

ふなばし動物医療センター かつまペットクリニック

PGR
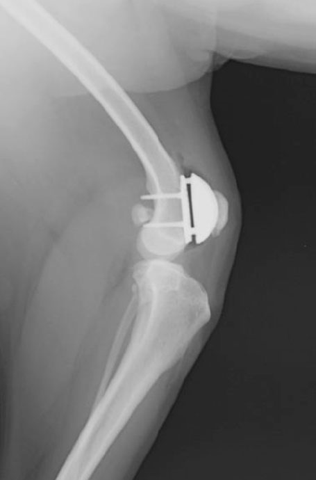
膝蓋骨滑車溝置換術
滑車溝をインプラントに置き換えて、膝関節を安定化。
PGR( Patellar Groove Replacement)とは、犬の膝蓋骨内方脱臼や外方脱臼に対して滑車溝を人工のインプラントに置き換える手術方法です。滑車溝軟骨損傷が激しい症例などが適応になります。
PGRインプラントは大腿骨に設置したベースプレートと、摩擦・摩耗を最小限に抑えられるよう滑らかにコーティングされた人工溝を組み合わせた構造になっています。ベースプレートは大腿骨の海綿骨にチタン製のネジで固定することで骨吸収を促進させ、安定化を実現しています。
PGRシステム
構成パーツについて
膝蓋滑車溝置換術(PGR)は機能的な膝蓋骨溝を修復するためのインプラントです。スイスKYON社によって開発されました。
  • 人工溝 : 低摩擦、低摩耗のチタン合金の非晶質ダイヤモンドカーボン。10種類以上のサイズがあり、あらゆる犬種にフィットします。
  • ベースプレート : 術後、急速に骨が入り込んで安定します。
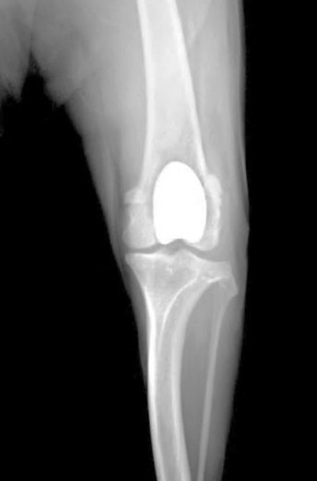
術前(膝蓋骨内方脱臼)
術後
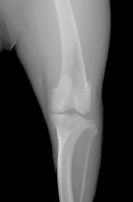
術後
手術の流れ
  • 手術当日
    麻酔前検査(血液検査・胸部レントゲン)
  • 手術
  • 翌日退院
  • 約1週間後再診
  • 約2週間後再診
    抜糸
  • 約4週間後再診
    レントゲンチェック