障害された大腿骨頭を切除して、痛みの原因を取り除く。
FHO(Femoral Head Ostectomy)は、痛みの原因となっている関節の接触・摩擦を取り除くため、大腿骨頭を骨切りする手術です。切除によって本来の関節機能は失われますが、筋肉や皮下組織を再び縫い合わせて繊維性の偽関節を形成するので、失われた関節の働きを後肢の筋肉が代替するようになります。術後のリハビリは必要ですが、体重の軽い小型犬では比較的短期間で機能回復が期待できる手術です。
| 適応 |
レッグペルテス、股関節脱臼、股関節形成不全、大腿骨頚部骨折、大腿骨頭骨折 |
| メリット |
術後の運動制限は必要なし |
| デメリット |
股関節の機能を失うため回復までにかなり時間がかかる
大腿の筋肉は元の状態まで回復しない
|

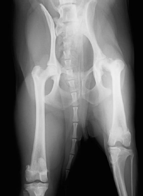
レッグペルテス 術前

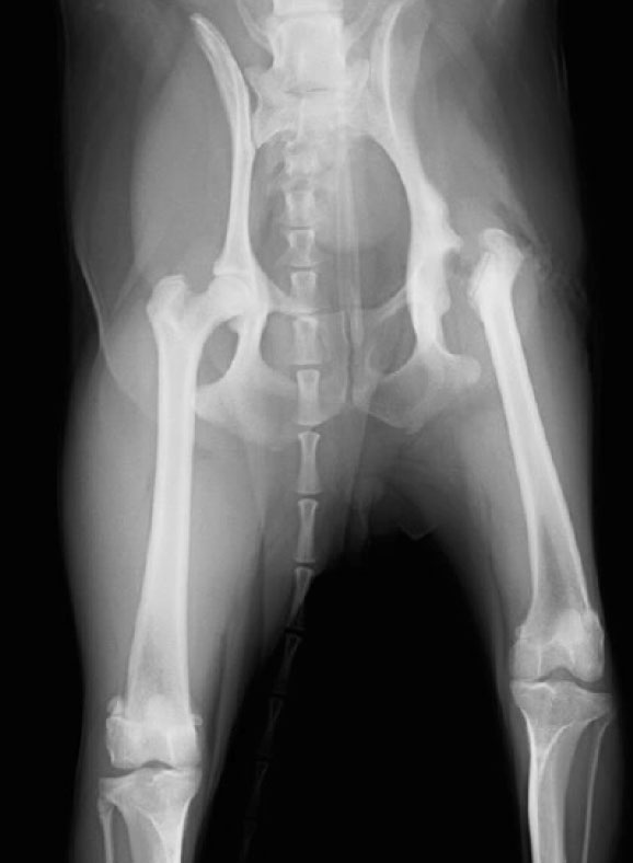
大腿骨頭切除(FHO)術後
股関節脱臼の治療と手術について解説を見る